PORT-AU-PRINCE – La menace se précise. Alors que la diphtérie gagne du terrain sur l’ensemble du territoire national, les autorités sanitaires sonnent l’alarme et préparent une riposte vaccinale d’envergure dans les établissements scolaires pour freiner la progression de cette maladie mortelle.
Pour le seul mois d’avril 2026, la diphtérie a franchi un seuil critique : au moins un cas positif a été formellement identifié dans chacun des dix départements du pays. L’information a été confirmée par le Dr Martial Bénêche, directeur du Programme Élargi de Vaccination (PEV) au sein du ministère de la Santé publique et de la Population (MSPP).
À ce jour, la maladie a déjà coûté la vie à quatre enfants, illustrant la virulence du foyer épidémique actuel. Face à cette flambée, le MSPP, en collaboration étroite avec le ministère de l’Éducation nationale (MENFP), mobilise ses ressources. Une campagne nationale de vaccination intensive sera déployée du 19 au 24 mai prochain.
Cette intervention ciblera prioritairement les enfants âgés de 6 à 14 ans, une tranche d’âge particulièrement vulnérable en milieu scolaire. Les équipes mobiles de vaccination se rendront dans les écoles publiques et privées à travers le pays.
« Nous appelons à la responsabilité des parents », a martelé le Dr Bénêche, insistant sur le fait que la vaccination reste l’unique rempart efficace pour renforcer le système immunitaire des jeunes et stopper la chaîne de transmission.
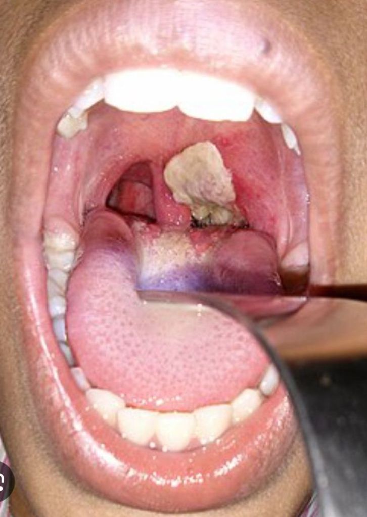
Soulignons que la diphtérie est une infection hautement contagieuse transmise par les voies respiratoires. Elle se manifeste souvent par des maux de gorge, une forte fièvre et l’apparition de « fausses membranes » grisâtres dans la gorge qui peuvent provoquer une asphyxie. Outre les risques respiratoires, la toxine produite par la bactérie peut entraîner des complications cardiaques et neurologiques graves, souvent fatales en l’absence de traitement rapide.
En somme les autorités sanitaires rappellent que la situation actuelle exige une vigilance accrue et invitent toute personne présentant des symptômes suspects à se rendre immédiatement dans le centre de santé le plus proche.

